Revitalize the Beauty of Your Smile with Porcelain Veneers
At the Cosmetic and Restorative Dental Practice of Dr. Jon Marc Van Slate, we strive to give all of our patients the beautiful smiles they crave. Of all of the treatments we use to meet this goal, one of the quickest and most effective is porcelain veneers. A porcelain veneer is a thin piece of porcelain that is bonded to the front of the tooth. Although the porcelain veneer procedure is very conservative, it does require some tooth reduction for the best results. Porcelain veneers are used at our Houston,TX, practice to provide our patients with the cosmetic dentistry results they desire.
The ability to predictably bond porcelain to teeth has truly revolutionized dentistry. No other dental procedure has given us the ability to truly change a person’s life like porcelain veneers. We are now able to beautifully restore teeth that have previously been discolored, worn down, chipped or broken. We can also close gaps, fix rotations and level and align teeth with porcelain veneers. People who were previously self-conscious about their smiles can now relax easier with porcelain veneers, allowing them to smile beautifully and with confidence. Contact us today in order to find out if this treatment is right for you.
Porcelain Veneers Candidates
There are several reasons to consider porcelain veneers at our Houston practice. Depending on the patient, wear and attrition from years of grinding and clenching the teeth can become an issue. As the teeth age and deteriorate, so too does the enamel encasing and protecting the teeth. This enamel can also become discolored over time due to the consumption of coffee, soda, tobacco, wine, and other staining agents. In addition, over time, the length of the teeth may become uneven, especially if the patient has a history of teeth grinding. All of these dental issues can be resolved through the application of porcelain veneers at our Houston practice. Porcelain veneers are responsible for some of the most radical transformations in all of dentistry, literally brightening and straightening a patient’s smile through a relatively simple procedure.
WHY CHOOSE DR. VAN SLATE FOR YOUR VENEERS?
Dr. Van Slate has long been considered by his peers as a leader in cosmetic dentistry. He has received a Fellowship from the world-renowned Las Vegas Dental Institute and the International Association of Physiologic Aesthetics. Dr. Van Slate has successfully completed hundreds of veneer cases and complex full mouth rehabilitation cases in his career. He has relationships with some of the best dental lab ceramists in the country who work with him to achieve the most ideal cosmetic results for his patients. We use digital scanners, and we will fabricate a wax model of the teeth, so the patient can see a preview of the final outcome before any work is actually done to the teeth.
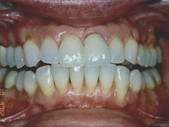
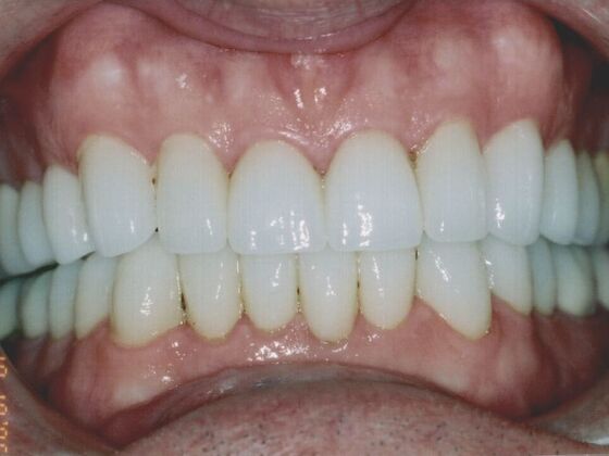
TAKE A LOOK AT DR. VAN SLATE'S WORK


HOW MUCH ADJUSTING WILL I NEED FOR VENEERS?
First, our goal is any cosmetic case is to be as conservative as possible, and to keep enamel reduction to a minimum. To do this, we use preparation guides that help us determine exactly where the teeth need to be shaped, to achieve our desired cosmetic results. The fact is, we are often trying to fix teeth with many cosmetic challenges. Teeth that have gaps may require less shaping of the tooth than one that is rotated or crowded. About 70-80% of the time, a tooth will require some recontouring. There are some systems that advocate little to no tooth preparation that will often end up with less-than-ideal results. Therefore, the tooth may look too bulky or have ledges that stain more often. This can also lead to more gum inflammation, decay issues and much higher failure rates. We should never sacrifice a beautiful cosmetic result for a no prep design.
HOW MANY VENEERS DO PEOPLE REQUIRE TO CHANGE THEIR SMILE?
Of course, this will always depend on the outcome that the patient wants to achieve. In almost all veneer cases, we are usually making a color change, so at a minimum, the average veneer case will involve the upper front eight teeth, so that all the teeth in the "smile zone" are the same color. We take a lot of photographs of a person to see what teeth they show in a wide smile, to help us determine if the teeth may need a veneer.
INVISALIGN IN CONJUNCTION WITH PORCELAIN VENEERS
Our ability to do "invisible braces" with orthodontic aligners has given us dramatic advantages in solving many cosmetic challenges. Invisalign treatment can often be used to achieve dramatic tooth movement in about half the time as conventional metal braces. Using the Itero digital scanner we can simulate tooth movement before anything is done. By moving the teeth into a more ideal position with Invisalign before the teeth are prepared for the porcelain veneers, we can achieve better cosmetic situations with much less tooth reduction.
HOW TO CORRECT A GUMMY SMILE WITH VENEERS
Some people show a lot of gum tissue when they smile, resulting in a less than ideal cosmetic appearance. Since the gum tissue forms the frame around our teeth, we will often use dental lasers to contour, smooth and shape the gum tissue as part of our veneer procedure. We must have a uniform and appealing gum symmetry so that the porcelain veneers can be made with ideal shapes and proportions. For some people with a significant amount of gum tissue showing, a surgical procedure called crown lengthening may be required. We go over the need for laser treatment in the planning, designing and wax up phase, before the teeth are prepared for porcelain veneers.
Read Reviews From Our Patients
I looked for someone that specialized in TMJ and found him! Dr. Van Slate is extremely knowledgeable and super friendly. Glad I was lucky enough to find him! Highly recommend you reach out if suffering from TMJ or just need a GREAT dentist.
View on Google
True professionals! Dr. Jon Van Slate and his staff are most competent, kind and caring. All members of Dr. Van Slate's team are professional and highly knowledgeable. The level of dental services provided is the most advanced in terms of latest technology and intervention. Actually "pain free" and Dr. Van Slate explains each step of a procedure being performed. He thoroughly answers questions and sets appropriate expectations about procedures as well as long term results. I recommend this physician with complete confidence! Thank you!
View on GoogleContact Us Today To Schedule A Porcelain Veneer Consultation
If you have ever wanted to drastically alter your appearance or simply straighten a few misaligned teeth, porcelain veneers in Houston may be right for you. At the Cosmetic and Restorative Dentistry Center of Dr. Jon Marc Van Slate we offer a wide array of dental options, including porcelain veneers, to our patients in and around the Houston area. If you’re looking for a better smile, contact us to schedule a personal consultation to discuss porcelain veneers at our Houston practice, and see why Dr. Van Slate is a Texas leader in cosmetic dentistry.
